Emergency Dental Care Mississauga

Prompt & Compassionate Dental Care at Sana Dentistry

Dental emergencies—sudden pain, broken teeth, or accidents—can happen at any time. Our experienced team provides rapid care to relieve pain and treat issues before they worsen.

Need Immediate Assistance?

📞 Call 905-607-3330

Early treatment can prevent further complications and help save your tooth.

Sana Dentistry front entrance in Mississauga

Are You Experiencing a Dental Emergency?

If you are experiencing discomfort or have suffered an injury to your teeth or gums, contact our office immediately. We prioritize emergency appointments to get you out of pain.

Immediate Steps You Can Take:

  • Medication: Take over-the-counter pain relief as directed.
  • Rinse: Gently use warm salt water to clean the area.
  • Diet: Avoid chewing on the affected side; stay away from hard, sticky, or sharp foods.
  • Guidance: Our team will provide specific instructions over the phone.

🦷 Common Dental Emergencies We Treat

Condition Common Symptoms
Severe ToothachesPersistent throbbing, sensitivity, or sharp pain.
Broken/Chipped TeethFractures from trauma or biting hard objects.
Knocked-Out ToothA tooth completely removed from the socket.
Dental InfectionsAbscesses, swelling, or localized pus.
Lost RestorationsMissing fillings, crowns, or bridges.
Trauma & InjuryJaw pain, bleeding gums, or wisdom tooth pain.

Emergency Protocols: What to Do

Toothache Relief

1. Toothache

Caused by decay, infection, or trauma.

Action: Rinse with warm salt water and use floss to remove trapped debris.

Relief: Apply a cold compress to the cheek for swelling.

Knocked-out tooth care

2. Knocked-Out Tooth

Time-sensitive emergency!

Action: Pick up by the crown (not root). Rinse gently.

Storage: Place in a container of milk or saliva. Visit us immediately.

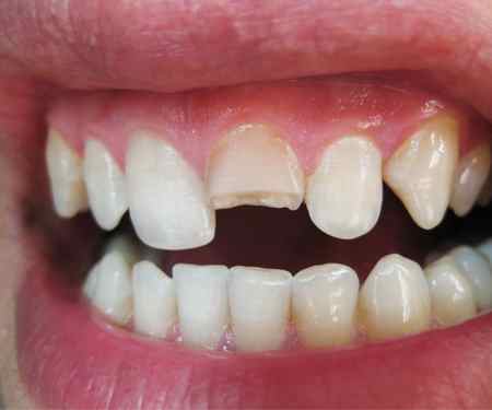
Broken or chipped tooth repair

3. Broken or Chipped Tooth

Action: Rinse with warm water and save any broken fragments.

Relief: Apply a cold compress and call for an evaluation.

Why Choose Sana Dentistry?

  • Priority Booking: Prompt appointments for urgent concerns.
  • Expert Care: Trained in trauma and infection management.
  • Patient-Focused: Clear options and gentle, compassionate care.
  • Convenience: Transparent pricing and insurance assistance.

Children’s Dental Emergencies

Children are prone to injuries during sports or play. Our team provides specialized, gentle care to keep them calm while addressing the issue to prevent long-term developmental problems.

Located in Mississauga with parking available.

Common Questions (FAQ)

Call Sana Dentistry immediately. Keep the tooth moist in milk or saliva and bring it with you. Time is the most critical factor in successful re-implantation.

Not necessarily. Many toothaches are resolved with fillings or root canal therapy. We always explore every option to save your natural tooth.

Yes. Pain often fluctuates, but the underlying infection or decay will not heal on its own. An exam prevents the issue from returning as a more severe problem.
If you are looking for a dentist in Mississauga for Emergency Dental Care please call us at 905-607-3330 or book an appointment online.

Ask Questions

We will gladly answer any questions you may have.

  Ask Questions

Book Online

Sana Dentistry offers the ability to request your dentist appointments online. Schedule an appointment now!

  Book Online

New Patient Forms

By filling out the New Patient Forms ahead of time you will save significant time on your visit.

  New Patient Forms
Latest News
Benefits of Dental Flossing for Optimal Oral Health
Thu, 19 Apr 2018

The Numerous Benefits of Dental Flossing for Optimal Oral Health Introduction Maintaining good oral hygiene is essential for overall health and well-being. Wh...

  Continue Reading

Call2Action
🔕 Sorry, we're currently closed. Please send us a message and we'll get back to you as quickly as possible.